ブリッジ
確かな設計で、もう一度「噛める喜びを」
支台歯に負荷がかからない設計と噛み合わせをきちんと行います。
機能回復の橋をかける
歯を失った部分を補う治療、ブリッジ。
欠損した両隣の歯を支台歯として、失った機能と審美を補います。
外科的な治療が不要で幅広くされている治療です。
一方で、支台歯を削らなければならなかったり、咬合力が支台歯に持続的にかかるというデメリットも存在します。
そのため、ブリッジは設計がとても重要になります。
当院では、支台歯に負荷がかからない設計と噛み合わせの調整をきちんと行なっています。

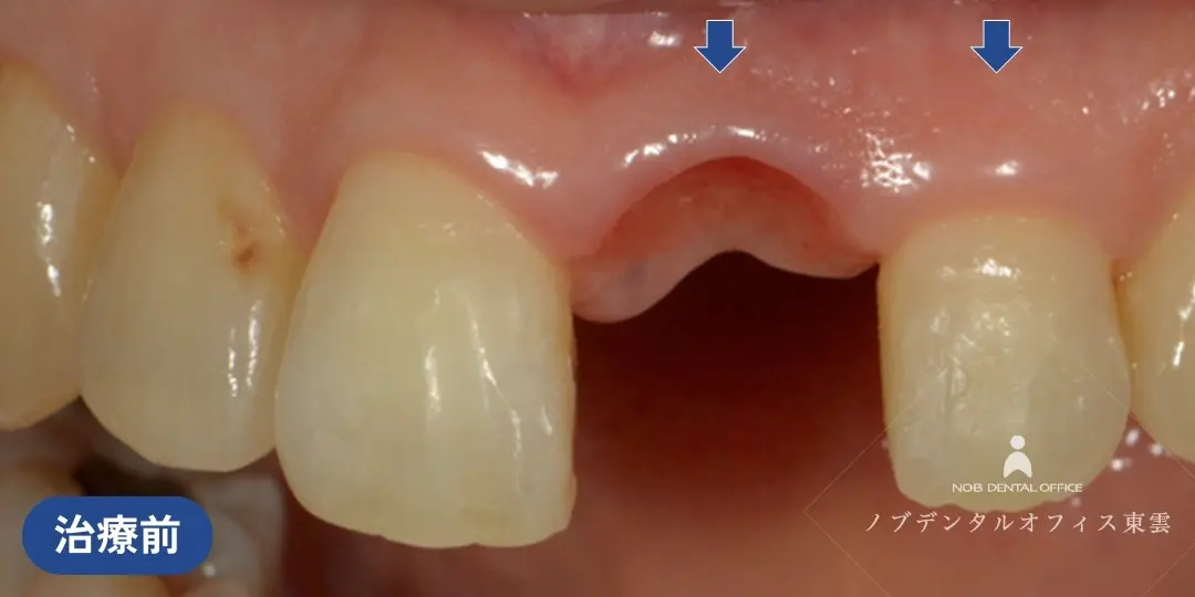
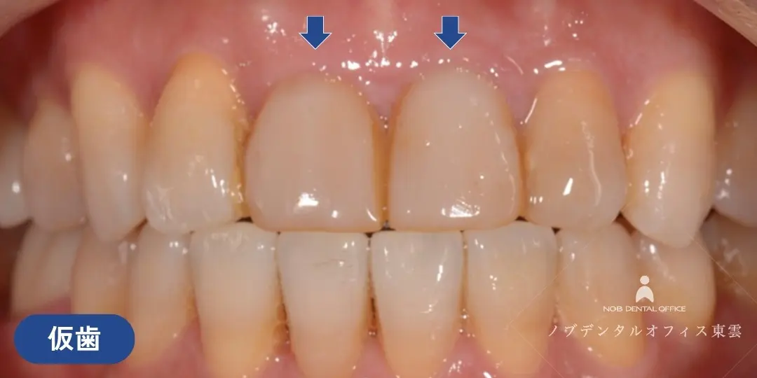
前歯をブリッジで治療した症例(40代女性)
上の前歯2本を失い、仮歯が入っている状態でした。
インプラント・ブリッジ・入れ歯の治療計画をお話しさせていただき、治療期間やリスク、強度や審美性を踏まえて、ブリッジ治療を行いました。
両隣の歯はいずれも神経がなく歯質が薄い状態でした。歯の根のトラブルが起きるとブリッジを取り外すことになってしまうので、補強もかねて根管治療の再治療を行ない、ブリッジの支台歯にしました。
セラミック完成前に仮歯に置き換え、見た目・発音・噛み合わせを調整した上で、セラミックのブリッジを作製しました。
前歯の目立つ場所でしたが、ジルコニアのブリッジで自然な仕上がりになっています。
| 期間 | 4ヶ月間 |
|---|---|
| 治療 | ・管治療の再治療 ・ブリッジによる修復 |
| 費用 | かぶせ物の費用:187,000円×4(税込) 保険適用外 |
| リスク | ・経年的に摩耗が起こることがあります。 ・強い噛みしめや歯ぎしりにより、欠けたり外れる可能性があります。 ・歯ぐきの状態によっては境目が見えてくる場合があります。 ・清掃状態や生活習慣によっては境目から虫歯や歯周病が起こることがあります。 |
ジルコニアブリッジ(自費)の特徴
強度が非常に高く、審美性も高い素材です。
審美性が求められる前歯にも、噛み合わせた時の強度が求められる奥歯にも最適な素材です。
ジルコニアブリッジの特徴
- 強度が非常に高く、奥歯にも使用しやすい素材
- 金属を使わないため、金属アレルギーの心配が少ない
- 自然な色調に近づけやすく、見た目がきれい
ジルコニアブリッジのメリット
- 審美性が高い(白く自然な見た目)
- 変色しにくい、汚れが付きにくい
- 強度が非常に高い
留意点
- 保険適用外です
- 症例により適応が限られる場合があります
前歯の欠損を接着性ブリッジで治療した症例(60代女性)
上の前歯の歯ぐきが腫れてしまった状態を繰り返していました。
診察の結果、歯根に亀裂(きれつ)があり、残念ながら抜歯が必要との診断でした。
当院で抜歯を行いました。
インプラント・ブリッジ・入れ歯の治療計画をお話しさせていただき、治療期間やリスク、審美性や周囲の歯への負担を考慮して、接着性ブリッジで修復しました。
接着性ブリッジとは、隣の歯の一部のみを削り、貼り付けるタイプの補綴物です。
支台歯の削る量を最小限に済ませ、審美性も高いのが特徴です。
抜歯した状態。治療期間中は仮歯を入れます。
隣の歯の一部のみを削り、ジルコニアを貼り付けています。削る量が少なく負担の少ない治療です。
| 期間 | 4ヶ月間 |
|---|---|
| 治療内容 | ・抜歯 ・接着性ブリッジで修復 |
| 費用 | かぶせ物の費用:176,000円×2(税込) 保険適用外 |
| リスク | ・強い噛みしめや歯ぎしりにより、脱離や破損が起こる可能性があります。 ・接着部の状態や清掃状況によっては、むし歯や歯周病が生じることがあります。 ・経年的な変化により、色調や適合に変化が出る場合があります。 ・過度な力が加わらないように定期的な噛み合わせのチェックが必要です。 |
接着性ブリッジ(自費)の特徴
前歯や軽い症例にのみ適用されます。
歯を削る量を抑えられるのが特徴です。
接着性ブリッジの特徴
- できるだけ歯を削らず、特殊な接着技術で固定するタイプ
- 主に前歯や軽い症例で用いられることが多い治療法
接着性ブリッジのメリット
- 健康な歯を大きく削らずに済む可能性がある
- 取り外し式ではないため違和感が比較的少ない
留意点
- 保険適用外です
- 適応症例が限られる
- 嚙み合わせや歯並びにより外れることがあ
歯の虫歯を保険適応のブリッジで修復した症例(60代男性)
「前歯が折れた」とご来院されました。抜歯をして、保険適用のブリッジで治療しました。
| 期間 | 3ヶ月間 |
|---|---|
| 治療 | ・抜歯 ・硬質レジン前装冠にて被せ直し |
| 費用 | 保険適用 |
| リスク | ・経年的に摩耗や色調の変化・着色が起こることがあります ・強い噛みしめ・食いしばりにより欠ける・外れる可能性があります ・支えている歯に負担がかかるため、歯ぐきや歯の状態によっては将来的に再治療が必要になることがあります ・清掃状態や生活習慣によっては、ブリッジの境目から虫歯や歯周病が生じることがあります |
CAD/CAMブリッジ(保険適用)の特徴
保険適用の治療でありながら、白い見た目が可能なブリッジです。
CAD/CAMブリッジの特徴
- 専用の機械で削り出す樹脂系素材
- 白い見た目の保険ブリッジ
CAD/CAMブリッジのメリット
- 金属を用いないため金属アレルギーの方にも適応可能
- 保険適用のため費用負担を抑えられる
- 見た目が白く自然
留意点
- 強度や耐久性は症例により限界がある
- 適用部位が制度上制限される場合があります
ブリッジの再治療をジルコニアで行った症例(40代女性)
右上の奥歯にすでに保険適用の金属のブリッジが入っていました。
| 期間 | 4ヶ月間 |
|---|---|
| 治療 | ・根管治療の再治療 ・歯周外科処置(歯ぐきの形態修正) ・ジルコニアブリッジ |
| 費用 | かぶせ物の費用:143,000円×3本 保険適用 |
| リスク | ・経年的に摩耗が起こることがあります。 ・強い噛みしめや歯ぎしりにより、欠けたり外れる可能性があります。 ・歯ぐきの状態によっては境目が見えてくる場合があります。 ・清掃状態や生活習慣によっては境目から虫歯や歯周病が起こることがあります。 |
メタルブリッジ(保険適用)の特徴
保険適用で奥歯にブリッジ治療する唯一の選択肢です。
メタルブリッジブリッジの特徴
- 金属製のため強度が高い
- 保険が適用されるため費用負担が少ない
メタルブリッジブリッジのメリット
- 強度が高く、機能性に優れる
- 保険が適用されるため費用負担が少ない
留意点
- 見た目が銀色で目立つ
- 歯とメタルの間は接着されないため、経年的に境目ができ、感染リスクがあります
- 金属アレルギーのリスクがあります
以上、当院で治療した症例を交えつつブリッジの種類を紹介しました。
様々なブリッジの種類がありますが、お口の状態や患者様のご希望により、最適なブリッジは異なります。
「長持ちを優先させたい」「保険適用の治療がいい」「見た目が気になる」などご希望を踏まえて治療内容を決めていきましょう。
ブリッジは部分入れ歯やインプラントとどう違う?
歯を失ってしまった部分の審美や機能を補うための治療法は、ブリッジの他に、インプラントや部分入れ歯があります。
その方の年齢やお身体の状態、ご本人のご希望により、最適な治療は異なります。
当院では納得した上で治療を選んでいただけるよう、担当医から患者様に直接詳しく説明しますが、ここでも簡単に紹介します。
ブリッジと部分入れ歯の違い
部分入れ歯は、ブリッジと比べて
- 取り外しができます
- 隣の歯を削りません
- 違和感が出てしまいます
- ガタガタしやすいです
ブリッジとインプラントとの違い
部分入れ歯は、ブリッジと比べて
- 取り外しができます
- 隣の歯を削りません
- 違和感が出てしまいます
- ガタガタしやすいです
ブリッジとインプラントとの違い
インプラントは
- 隣の歯を削る必要がありません
- 天然歯に近い機能と審美性を獲得できます
- 外科治療が必要です
- 治療費が高額になります
インプラントブリッジという選択肢
ブリッジ治療では支台歯に負担がかかり、耐久性の問題が生じやすくなりますが、支台歯をインプラントにすることで、安定して噛めるブリッジを入れることができます。
欠損本数が多い場合や一番奥の歯を失った時などにご利用いただけますし、将来介護が必要になるステージにはインプラントデンチャーという選択肢も可能です。
ブリッジ治療に関するよくある質問
ブリッジの最大のデメリットは「隣の歯に負担がかかること」です。
隣の歯が支台歯となる時に削りますし、噛み合わせた時の力も支台歯が大きく引き受けなければいけません。
実際の治療では、それぞれのメリット・リスクを丁寧にご説明します。
患者様ご本人が納得のいく方法を一緒に選びましょう。
ブリッジの予後をよくするには、お手入れが重要です。
歯の根がない箇所はブリッジの下が空洞になるため、汚れが溜まってしまう場合があります。
当院では専用のスーパーフロスや歯間ブラシの使い方をご案内しますので、毎日おそうじしてください。また、残ってしまった汚れを定期的に除去できるよう、定期検診をご利用ください。
当院のブリッジ治療
ノブデンタルオフィス東雲では、単に「欠損を埋める」だけでなく、「なぜ歯を失ったのか」という原因にまでアプローチします。 ブリッジ治療においても、お口全体のバランスを整えることで、残っている大切な天然歯をこれ以上失わないための治療を心がけています。
当院では、より多くの方が質の高い人生を送っていただけるように、治療の選択肢をご提案しています。
ご不明な点、痛みや不快感などのご不安点がありましたら、カウンセリング時に担当医までご相談ください。
当院が初めての方はこちらが便利です。