包括的治療
もう一度、しっかり噛める喜びを。
将来の「噛める」が不安な方へ
包括的治療とは
包括的治療(ほうかつてきちりょう)とは、悪くなった1本の歯だけを診るのではなく、お口全体を一つの単位(一口腔単位)として捉え、根本的な原因から改善する治療のことです 。
「何度も同じ場所の治療を繰り返している」「どこで噛めばいいのか分からない」といった悩みに対し、将来的な予後を考えた、より長持ちする口腔環境の構築を目指します 。
包括的治療が必要な4つの状態
お口全体のバランスを整え、将来の予後(治療後の経過)をより良くするための包括的治療。
ご自身の状況が以下のどれにあてはまるか、確認してみてください。
1. 特定の歯に噛み合わせの負担がかかっている方
歯並びや噛み合わせが悪いと、一部の歯にだけ強い力がかかってしまいます。
この状態が続くと、特定の歯に過度な負担が集中し、虫歯や歯周病になることが予想されます。
- 包括治療のメリット
噛み合わせを整えることで、特定の歯への負担を減らし、将来的なトラブルを未然に防ぎます。
2. 再発を繰り返している方
「悪くなった歯を治す」という治療を繰り返している状態です。
なぜその歯が悪くなったのかという根本的な原因を解決しない限り、再治療のループに入る可能性があります。
- 包括的治療のメリット
根本原因を治療することで、治療した歯の予後を良くして、今残っている歯を防します。
3. 欠損を放置してしまった方
歯を失ってしまったところをそのまま放置すると、やがて周囲の歯のポジションが変わり、お口全体のバランスが崩れます。
すでに噛みづらさを感じている場合は、バランスが崩れ始めているかもしれません。
- 包括治療のメリット
これ以上歯が動いてしまう前に噛み合わせを立て直します。
必要に応じて欠損治療(インプラント・ブリッジ・入れ歯など)を行います。
4. 咬合崩壊を起こしている方
噛み合わせが長期間乱れた結果、お口全体の機能がうまく働かなくなっている状態です。
「どこで噛めばいいかわからない」というお悩みもここに含まれます。
- 包括治療のメリット
残っている歯を最大限に活かし、欠損箇所を補います。お口全体の機能を構築することで、もう一度しっかり噛める機能を取り戻します。
まずは現在の状態とリスクを知る口腔ドックを
現在お口はどのような状態で、将来的にどのようなリスクがあるかを口腔ドッグで診査してみませんか?
1日目に検査・型取り、2日目にカウンセリングを行います。
| 項目 | 内容 | 費用 |
|---|---|---|
| 口腔ドッグ (全2日間) | レントゲン検査 口腔内写真撮影 唾液検査 歯周病検査 噛み合わせの検査 型取り カウンセリング | 33,000円 保険適応外 |
口腔ドッグは診断を目的とした検査です。
その後に治療を行うかは、患者様にお選びいただけます。
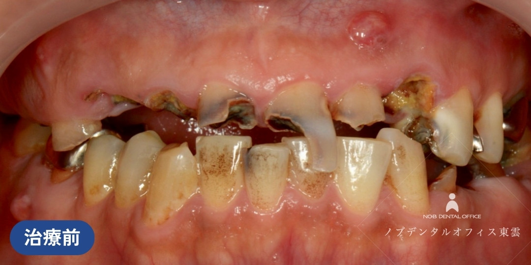
咬合崩壊から機能回復した症例(40代男性の場合)
多数にわたる虫歯・歯周病・かぶせ物の不適合があった方の症例です。
上下の歯が咬み合っておらず、咀嚼機能も低下している状況でした。咬合崩壊(お口全体の噛み合わせのバランスが完全に崩れ、正常に機能しなくなった状態)と診断されました。
虫歯治療など部分的な治療を続けると、残っている他の歯への負担が増え、再治療の繰り返しが予想されます。
初診の時点で「全体的に治療したい」とのことでしたが、まずは応急処置を行い、口腔ドッグによる診察、包括的治療の順に行いました。
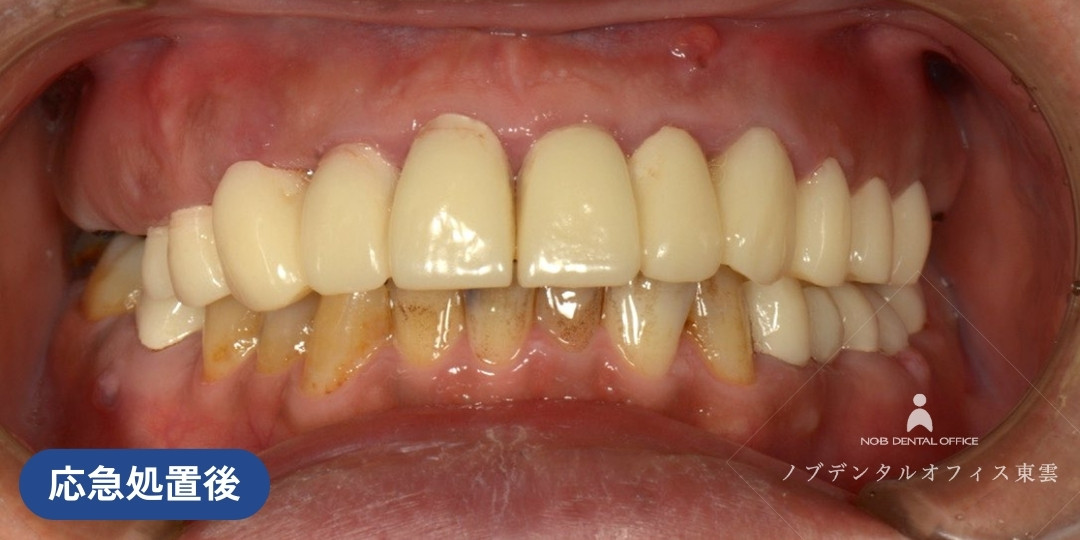
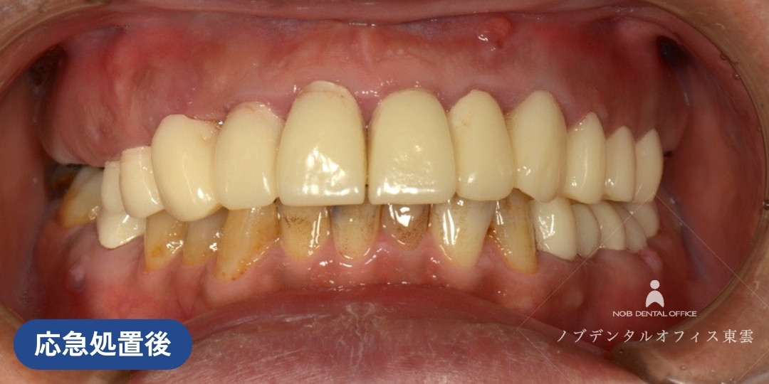
まず、初診~応急処置を行いました
「全体的に治療したい」とご来院されました。
審美性と咀嚼機能を確保するため、前歯・臼歯部に仮歯を装着しました。
仮歯により、日常生活での噛み合わせや見た目が一次的に回復しました。
次に、口腔ドッグ・精密検査とカウンセリングを行いました
口腔ドッグで詳しく検査を行いました。
また、診察用の模型を作成し、患者様と担当医で治療のゴールを可視化しました。
検査結果を踏まえ、どんな治療が可能なのか、保険・自費の選択肢を含めてお話ししました。
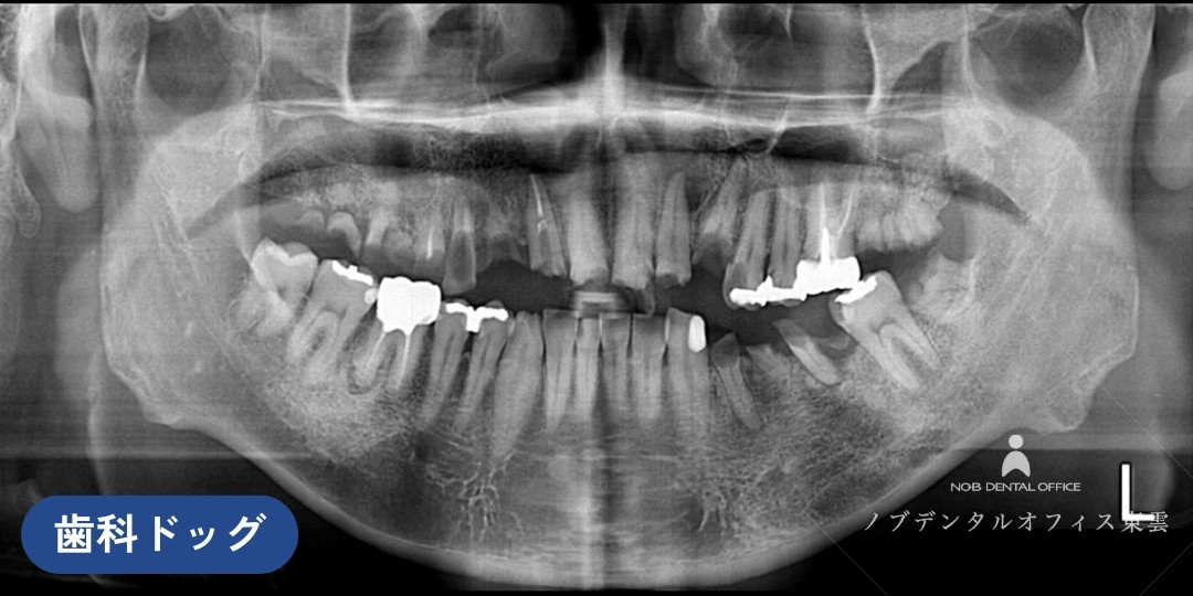
レントゲン写真
顔の骨格診断
精密レントゲン
歯並びと噛み合わせを再現する模型
3次元で診査できる歯科用CT
唾液検査で虫歯・歯周病リスクを数値化
カウンセリングの結果、「費用がかかっても、できる限り自分の歯を残してほしい、長期的に安定する治療がいい」と希望されました。
いよいよ包括的治療がはじまります
カウンセリングでは、模型を見ながら、治療にかかる期間と費用、治療の手順についても確認を行います。
この方は、できる限りご自身の歯を残し、予後が良い治療をご希望されました。
そこで、抜かなければならない箇所はインプラントを行い、噛み合わせを考え、下の前歯を矯正します。
診断用ワックスアップと呼ばれる模型です。
治療後の状態を模型にして、カウンセリング時に見ながらお話しします。
まずご自身の歯を残すのが難しい箇所10本について歯を抜きました(親知らず含む)。
7本のインプラントを入れ、仮歯にて噛み合わせがないか確認を行います。

初診のあと、応急処置で仮歯を設置した状態です。

親知らずを含め、ご自身の保存が難しい10箇所について歯を抜きました。
7本のインプラントをいれた後、仮歯をセットしています。

下の前歯を矯正しました。
仮歯の状態で上下の噛み合わせや見た目、清掃性などを確認します。

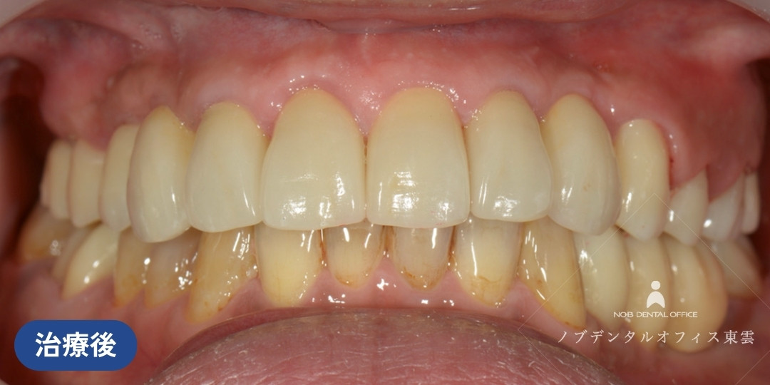
すべての治療が終わった状態です。
セラミッククラウンにてかぶせ物を行いました。
| 期間 | 約3年(仮歯での経過観察を含めて) |
|---|---|
| 費用 | 約500万円 保険適用外 |
| リスク | ・強い噛みしめや歯ぎしりにより、被せ物やインプラントに負担がかかる可能性があります ・インプラント周囲炎など、清掃不良によるトラブルのリスク ・経年的な変化により、噛み合わせや被せ物の調整が必要になる場合があります ・定期的なメンテナンスと咬み合わせチェックが不可欠です (保険適応外) |
しっかり噛める喜びを取り戻したいあなたへ
歯医者さんに行かずに放置してしまうと、行きづらさを感じる方もいるようです。
「どこから治せばいいのか分からない」と悩まれている方も、
「お口を見せるのが恥ずかしい」と感じる方も
まずは「口腔チェック」からで現在の状況を知ることから始めてみませんか?
ノブデンタルオフィス東雲は、患者様が将来にわたって美味しく食事をし、健やかな毎日を過ごせるよう、全力でサポートいたします。
当院が初めての方はこちらが便利です。