診療時間
電話予約 Web予約 アクセス
診療時間

歯周病治療

歯周ポケットが4mmよりも深くなったら歯周病が始まっているサインです。
歯周病から歯を守る様々な処置に対応しています。

歯周病は、身近な病気です

歯周病は「世界で最も一般的な病気」としてギネス世界記録にも登録されました。
歯周病になると、歯を支えている歯ぐきや骨に炎症が起き、悪化すると歯を失う原因になります。

そのため定期的な歯科検診をお勧めします。

歯周病かも?と思ったら

次の症状があらわれたら、早めに受診しましょう。

  • 歯磨きの時に血が出る
  • 歯ぐきが赤く腫れている
  • 朝起きた時、口の中がネバつく・口臭が気になる
  • 以前より食べ物が詰まりやすくなった
  • 歯が長く見える、またはグラグラする

歯周ポケットが深くなったと言われたら

定期検診で歯周ポケットを計測している方は、歯周ポケットが4mmよりも深くなったら歯周病が始まっているサインです。

  • 1〜3mm: 健康な状態
  • 4mm前後: 軽度歯周炎(汚れが溜まり始めている)
  • 5〜6mm: 中等度歯周炎(骨の吸収が始まっている)
  • 7mm以上: 重度歯周炎(歯がグラつく、抜歯のリスクがある)

予防と対策

歯周病は細菌感染による疾患です。
ご自身による毎日のケアとプロによる定期的なサポートがとても大切です。

また、喫煙などの生活習慣見直しも予防に役立ちます。

歯周病の進行

歯周病は原因は、お口の中の汚れ(プラーク=細菌のかたまり)です。

はじめは歯ぐきの腫れや出血から始まります。やがて進行すると歯を支える骨が少しずつ失われていきます。

健康な歯ぐき

健康な歯ぐきは引き締まり、ピンク色で、歯にしっかりと付いています。
腫れや出血はなく、歯を支える骨もしっかり保たれています。

歯肉炎(初期段階)

プラーク(細菌のかたまり)が歯ぐきの周りにたまることで炎症が起き、歯ぐきが赤く腫れたり、ブラッシングやフロスで出血しやすくなります。

この歯肉炎の段階では まだ骨の破壊はなく、適切な治療とケアで元の状態に戻ることが期待できます。

軽度〜中等度歯周炎

(初期の歯周病)
※歯ぐきが下がったなどの自覚症状

炎症が歯ぐきの奥へ進み、歯ぐきが下がりはじめ、歯と歯ぐきの間に 4mm以上の歯周ポケット」ができ始めます。
歯を支える骨も一部失われていきます。
治療により進行を抑えることは可能ですが、一度失われた骨が完全に元に戻ることは難しい場合があります。

重度歯周炎

(進行した歯周病)
※噛みにくい、歯が揺れるなどの自覚症状

炎症がさらに進み、歯を支える骨が大きく失われます。
歯がグラつく、動く、噛みにくいなどの症状が出ることがあります。
痛みや膿、強い口臭が出ることもあります。
この段階では、進行を抑える治療や外科的処置が必要になることがあります。

痛みがほとんどないまま進行することが多く、気づいたときには症状が進んでいるケースも少なくありません。
そのため、早めのチェックと継続したケアがとても大切な病気です。
歯周病の進行や症状には個人差があります。
診査・診断を行ったうえで、患者さん一人ひとりに合わせた治療やケア方法をご提案いたします。

当院の歯周病治療

歯周病治療はすべての方に歯周基本治療を行った上で、必要に応じて歯周外科治療や再生療法を行います。

歯周基本治療

すべての方に歯周基本治療を行った上で、必要に応じて歯周外科治療や再生療法を行います。
保険適応の治療です。

  • 1. 検査・初診
    レントゲン撮影・歯周ポケット検査・出血や腫れの確認などを行い、現在の状態を詳しく調べます。その結果をわかりやすくご説明し、治療計画を立てます。
  • 2. 歯磨き指導(TBI)
    歯周病の改善には毎日のセルフケアがとても重要です。患者さんの磨き方のクセを確認し、お口の状態に合ったブラッシング方法をご説明します。
  • 3. スケーリング(歯石除去)
    歯ぐきの上についた歯石や汚れを除去します。この段階で歯ぐきの炎症が改善することも多いです。
  • 4. 再検査
    治療の効果を確認するため、再度歯周ポケットや出血の状態をチェックします。改善が見られない部分は、さらに精密な治療へ進みます。
  • 5. SRP(スケーリング・ルートプレーニング)
    歯ぐきの中(歯周ポケットの奥)についた汚れ・歯石をしっかり取り除く治療です。歯の根の表面をなめらかにし、細菌がつきにくい環境に整えます。
  • 6. 再検査
    再び状態を確認し、必要に応じて追加治療や歯周外科治療を検討します。歯周外科治療は、炎症が強く、深い歯周ポケットが残る場合に外科的に清掃・改善を行うことがあります。※すべての方に行う治療ではありません。
  • 7. メンテナンス(定期管理)
    治療後は良い状態を保つことが大切です。定期検診・クリーニングで歯周病の再発を防ぎ、長期的にお口の健康を守ります。

歯周組織再生療法(保険・自費)

歯周組織再生療法とは、歯周病で失われた歯を支える骨や組織の回復を目指す治療です。
専用の再生材料や薬剤を用いて、歯ができるだけ長く残せるよう環境を整えます。

すべての方に適用できる治療ではなく、骨の状態や症状をしっかり診査したうえで、適応がある場合にのみご提案する治療です。

リグロスの保険適用について

近年、歯周組織再生の薬剤「リグロス」が保険適用となったことで、一部の症例では、保険治療の中でも再生療法を行うことが可能になりました。(保険適用の場合、処置費用は2~3万円目安)

どの治療が適しているかは、レントゲン検査や歯周検査などの診査結果をもとに判断し、患者様と相談しながら決定していきます。

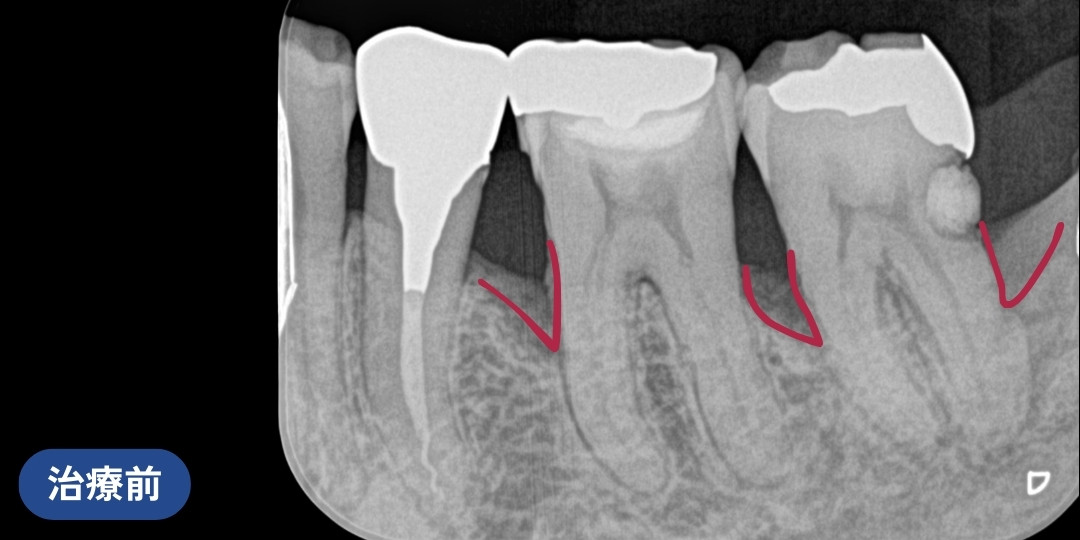
中等度歯周病を保険診療で再生治療した症例(40代女性)

歯周病の治療をしたいと来院されました。
歯周基本治療を行い、保険適用のリグロスを用いた歯周組織再生療法を行いました。

歯周基本治療をした後の写真。歯ぐきが引き締まりました。

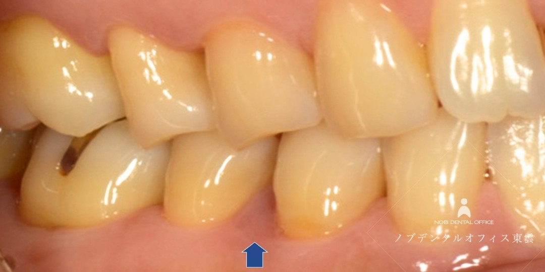
リグロスを用いた歯周組織再生療法後、骨の再生が認められました。※写真内赤線箇所

診断の結果、レントゲンが黒くなっている部分があり、骨が吸収されていました。中等度の歯周病です。
歯周基本治療を行い、歯周組織再生療法を行いました。

リグロスは、歯周組織の再生効果がある薬剤です。
同じ成分が皮膚科の皮膚再生にも使われています。

歯肉を切開して、治療箇所に薬剤を注入する外科的処置です。

リグロスを用いた歯周組織再生療法の様子。

期間6ヶ月
費用歯周基本治療、リグロスを用いる歯周組織再生療法
2~3万円
リスク・治療後も、歯周病が再発する可能性があります
・骨や歯ぐきの再生量には個人差があり、すべての症例で同じ結果になるわけではありません
・治療後もしっかりしたブラッシングと定期的なメンテナンスが必要です
・喫煙や生活習慣によって治療効果に影響が出ることがあります

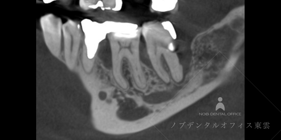
重度歯周病を自費診療で再生治療した症例(40代女性)

歯周病の治療をしたいと来院されました。

歯周基本治療を行いましたが、骨の吸収部分が大きかったため、自費診療にて歯周組織再生療法を行った結果、歯ぐきの状態が安定し、骨の回復傾向が確認されました。

BEFORE
レントゲンの赤線箇所の骨が溶けています。
AFTER
再生療法6ヶ月後、赤線箇所の骨の回復が確認されました。

レントゲンおよびCTにて、歯を支える骨の吸収が進行している部分が確認されました。
歯周基本治療後、骨吸収量が大きかったため、自費診療にて歯周組織再生療法(リグロス+骨補填材)を併用しました。

CTで3次元的に確認

CTで3次元的に確認

骨の吸収部分が大きかったため、CTにて3次元的に確認しました。
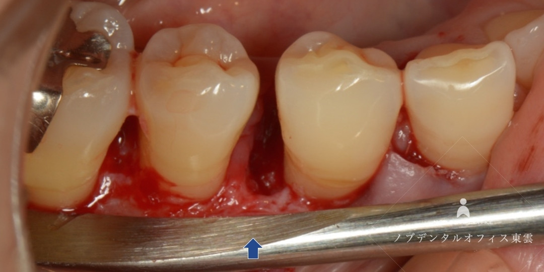
歯周組織再生療法では、汚れている部分を徹底的に除去し、リグロスと骨補填材を使用して、歯周再生療法を行いました。

汚れている部分を除去している様子

リグロスと骨補填材をセットした様子

治療後は、歯ぐきの状態が安定し、約半年後のレントゲンで骨の回復傾向が確認されました。
奥歯については、噛み合わせや清掃性も考慮し、この後、セラミックインレーで修復を行います。

歯ぐきがひきしまり、しっかり歯をおおっています。この後セラミック治療を行いました。

再生療法後、赤線箇所の骨の回復が確認されました。

治療後は、歯ぐきの状態が安定し、約半年後のレントゲンで骨の回復傾向が確認されました。
奥歯については、噛み合わせや清掃性も考慮し、この後、セラミックインレーで修復を行います。

期間6ヶ月
費用・歯周基本治療、歯周組織再生療法(リグロス+骨補填材)
110,000円 保険適用外
・セラミック修復
88,000円 保険適用外
リスク・治療後も、歯周病が再発する可能性があります
・骨や歯ぐきの再生量には個人差があり、すべての症例で同じ結果になるわけではありません
・治療後もしっかりしたブラッシングと定期的なメンテナンスが必要です
・喫煙や生活習慣によって治療効果に影響が出ることがあります

当院の歯周病治療

当院では、天然歯をより健康に残すことを追求しており、当院の歯周病治療は歯を大切に残したい人にとって、より優しい治療となっています。

歯周病は世界で大変多くの人が罹患する症状でもあり、歯を抜く原因にもなっています。

また、歯周病が全身の疾患に影響するとの研究結果が出ており、糖尿病、心臓病(心筋梗塞、脳梗塞、動脈硬化)、呼吸器疾患(誤嚥性肺炎、COPD)、骨粗しょう症、リウマチ、早産・低体重児出産、アルツハイマー病、肝臓病などのリスクも高まります。

私たちの全身の健康のためにも、歯周病を定期検診や必要な治療でコントロールすることが重要といえるでしょう。

歯周病の治療についてご検討されている方は

「歯周病の検診を受けたい 」
「歯周病を治療したい 」
「他院で抜歯が必要と言われた」

など、ご希望をお伝えの上、ご予約ください。

歯周病治療

    極力痛みを抑え、一本でも多くご自身の歯を残すことにこだわっています。

    専門歯科医院の連携による妥協なき歯科治療を
    なるべく早く受診を希望する方へ

    柔軟に対応しております。混雑している場合はお待たせすることもございます。ご来院いただく前に一度お電話にてお問い合わせください。

    診療時間
    ACCESS
    アクセス
    所在地 東京都江東区東雲1-9-17-204
    東雲キャナルコートCODAN 3街区 区画8-2階
    (明光義塾横)
    電車 辰巳駅から630m (徒歩8分)
    東雲駅(東京)から740m (徒歩10分)
    バス キャナルコート3街区前から90m (徒歩2分)