審美・修復治療
自然で美しい仕上がりを目指す自費診療をここでは紹介します。
前歯・奥歯の症例写真も公開していますので、治療後の仕上がりをご覧いただけます。
人生100年時代に将来を見据えた審美治療を
ノブデンタルオフィスでの審美・修復治療は、自然で美しい仕上がりにこだわっています。
美しい仕上がりで詰め物・かぶせ物を入れるには、歯の咬み合わせや歯ぐきの処置など総合的な医療技術が必要になります。
当院の審美・修復治療は「歯を白くしたい」「美しく仕上げたい」だけでなく「長持ちをさせたい」「再治療リスクを減らしたい」といったご希望にもマッチします。
このページは自費診療の紹介です。保険適用の虫歯治療は、こちらをご覧ください。
前歯のコンポジットレジン修復
コンポジットレジン(CR)とは、歯の色に近い樹脂(レジン)です。
歯に直接詰めて形を整えます。
- 歯を削る量が少ない
- 1回の治療で完了することが多い
- 自然な見た目で目立ちにくい
- 小さな虫歯や欠けの治療が可能
などの特徴があります。
当院のコンポジットレジンは、保険診療と自費診療の両方で取り扱っています。
自費診療は保険診療と比べると次のメリットがあります。
- ラバーダムを装着して、治療精度を高められる
- マイクロスコープを使用して、治療精度を高められる
- 接着に高機能の成分を使えるため、再発防止・境目の着色抑制効果がある
軽度な虫歯をコンポジットレジンで修復した症例(50代女性)
「前歯の虫歯を治したい」とご来院されました。
診察の結果、歯と歯の間に二次う蝕(虫歯)を確認。
2本とも虫歯になっており、同時に治療し、1日で完了しました。
虫歯になっている箇所を削り、CR(コンポジットレジン)充填まで1日で完結しました。
患部を削った様子。
削った箇所をコンポジットレジンで充填した様子。
ラバーダムを装着し、マイクロスコープで拡大しながら、患部を削ります。
健康な歯はできるだけ削らないよう配慮します。歯を大切に残したい人に優しい治療です。
自費で使えるCRは特別なエッチング処理と3ステップの接着をするため、再発防止・境目の着色抑制効果があります。
| 期間 | 1日 |
|---|---|
| 費用 | コンポジットレジン修復 33,000円×2箇所(税込) 保険適応外 |
| リスク | ・経年的に摩耗や色の変化が起こることがあります。 ・強い噛み合わせ・歯ぎしりで欠けたり外れる可能性があります。 ・清掃状態や生活習慣によっては再び虫歯が起こることがあります。 |
すきっ歯をコンポジットレジンで治した症例(20代女性)
「前歯のすき間が気になる」「笑った時の見た目をきれいにしたい」とご来院されました。
コンポジットレジンで修復することで、1日で治療が完了しました。
前歯の形態とバランスを整えました。
| 期間 | 1日 |
|---|---|
| 費用 | コンポジットレジン 55,000円(税込) 保険適応外 |
| リスク | ・経年的に摩耗が起こることがあります。 ・噛みしめや歯ぎしりにより、欠けたり外れる可能性があります。 ・清掃状態や生活習慣によ っては境目から虫歯や歯周病が起こることがあります。 |
前歯のセラミック治療
ここからは前歯のセラミック修復について紹介します。
当院で使用する主にセラミックはガラス系セラミックとジルコニア系セラミックです。
どちらもCRや金属と比べると、次のような特徴があります。
- 自然で透明感のある美しい見た目
- 接着性に優れ、長期的な安定性
- 強度が強い
前歯は笑った時によく見えるため、男女ともに、自然な仕上がりにこだわる方が多いです。
症例紹介では、【治療後】の仕上がりにご注目ください。
前歯のかぶせ物をジルコニアで再治療した症例(50代女性)
「前歯2本の色が気になる」とご来院された患者様です。
審美障害(既存補綴物の色調不調和・形態不調和)が認められたため、かぶせ物の再治療を行いました。
| 期間 | 約3ヶ月 |
|---|---|
| 費用 | オールセラミッククラウン(ジルコニア) 187,000円×2箇所(税込) 保険適応外 |
| リスク | ・経年的に摩耗や色調の変化・着色が起こることがあります。 ・強い噛みしめ・食いしばりにより欠ける・外れる可能性があります。 ・歯ぐきの状態や変化により、境目が見えてくる場合があります。 ・清掃状態や生活習慣によっては、境目から虫歯や歯周病が起こることがあります。 |
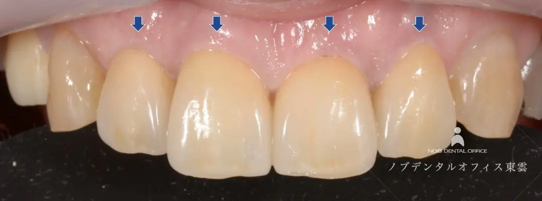
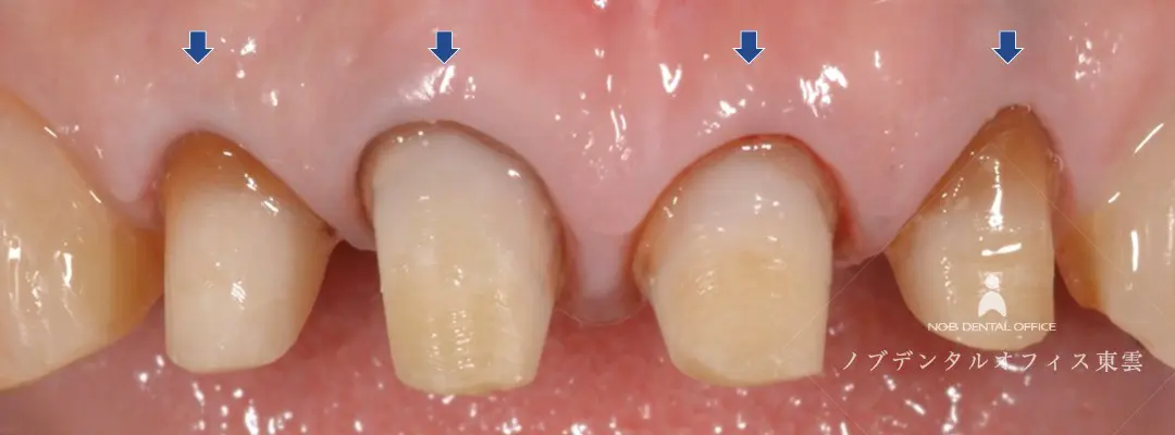
前歯のかぶせ物をジルコニアで再治療した症例(50代女性)
「前歯4本の色が気になる」とご来院された患者様です。
治療前は、前歯の歯ぐきとかぶせ物の間に段差があるため清掃・お手入れが難しく、虫歯や歯周病のリスクが高い状態でした。
また、かぶせ物の土台として入っていたメタルコアにもすき間があるように(左下写真)、歯の奥側にも感染があり、根管治療・土台の治療も行いました。
さらに、前歯の仕上がりをより自然に仕上げるために、歯ぐきの位置をそろえる処置も行いました。
| 期間 | 約6ヶ月 |
|---|---|
| 費用 | オールセラミッククラウン(ジルコニア) 187,000円×4箇所(税込) 保険適応外 |
| リスク | ・経年的に摩耗が起こることがあります。 ・強い噛みしめや歯ぎしりにより、欠けたり外れる可能性があります。 ・歯ぐきの状態によっては境目が見えてくる場合があります。 ・清掃状態や生活習慣によっては境目から虫歯や歯周病が起こることがあります。 |
奥歯のセラミック治療
奥歯は咬み合わせが強くなりがちなため、詰め物・かぶせ物にも強度が必要です。
奥歯の虫歯治療でジルコニアインレー修復した症例(40代女性)
「奥歯に物が詰まる」とご来院。虫歯の再治療を行いました。
診察の結果、写真内・赤丸の歯はセラミック治療した歯なのですが、詰め物の奥に二次う蝕(虫歯)が認められました。
う蝕検知液で虫歯の部分だけを染め出し、健康な歯をできるだけ削らないよう注意して治療します。
虫歯の患部を丁寧に削った後は、CRで歯を保護し、ジルコニアインレーをセットします。
う蝕検知液で虫歯の部分だけを赤く染めた様子。
虫歯を取り除いた後、CRで歯を保護した様子
| 期間 | 2日 |
|---|---|
| 費用 | セラミック修復(ジルコニア) 110,000円(税込) 保険適応外 |
| リスク | ・経年的に摩耗や色の変化が起こることがあります ・強い噛みしめ・歯ぎしりで欠けたり外れる可能性があります ・清掃状態や生活習慣によっては再び虫歯が起こることがあります |
修復材料について
最適な治療はお口の状態によって異なります。
同じ「虫歯」でも、
- 大きさ
- 深さ
- 噛み合わせ
- 歯の強さ
により最適な治療は変わります。
当院では精密な診断を行い、患者さんのご希望も踏まえて治療法をご提案いたします。
ご不安やご希望があれば、どうぞ遠慮なくご相談ください。
虫歯に感染した箇所は削り取り、詰め物やかぶせ物をします。
虫歯の大きさにより、適切な治療法が変わります。
当院では歯をできるだけ残しながら、機能性と審美性の両立を目指した治療を行っています。
コンポジットレジン修復
小さな虫歯や欠けに行う治療です。
歯の色に近い樹脂(レジン)を直接詰めて形を整えます。
- 歯を削る量が少ない
- 1回の治療で完了することが多い
- 自然な見た目で目立ちにくい
比較的軽度の虫歯に適した治療です。
インレー修復
虫歯の範囲がやや広い場合に行う治療です。
削った部分に合わせて精密に作製した詰め物を装着します。
- 強度が高くしっかり噛める
- 形態・噛み合わせを精密に再現できる
- 部位や素材により保険・自費が選択可能
レジン修復では強度が心配な場合に適しています。
インレー修復で使用する材料について、それぞれの特徴をご紹介します。
メタルインレー

保険
- 強くて長く使える材料
- 丈夫で外れにくい分、外れたときには虫歯が進んでしまっていることがある。
- 保険適用のため費用を抑えられる
- 銀色のため目立ちやすい
- 金属アレルギーの可能性がある
CAD / CAMインレー
保険
- 白くて目立ちにくい
- 金属アレルギーの心配なし
- 強度はセラミックに劣る
- 適応部位に制限あり
セラミック – ガラスセラミック系

自費
- 審美性に大変優れています
- やや経年変化が早い
- 審美にこだわる人が前歯に使うのに最適
- 奥歯やブリッジには不向き
セラミック – ジルコニア系

自費
- 非常に丈夫で割れにくい
- 噛む力が強い方にも適応
- 昨今は透明度の高いマテリアルも出現し、オールマイティーな使用が可能。
- 経年変化が少ないため、当院では特にお勧めしています
- 理事長北原はジルコニア修復臨床の第一人者としても知られています
オクルーザルベニア修復の素材
奥歯の噛む面を広い範囲で覆うセラミック治療です。
歯の削除量をできるだけ抑えながら、広い欠損や咬耗をカバーします。
- 歯質をなるべく残せる
- 噛む面をしっかり保護できる
- 審美性と機能性の両立が可能
歯を大きく削るクラウン(被せ物)ほどではなく、インレー(詰め物)では強度が不足する症例に適しています。
そのまま強い噛み合わせの力が加わることで、
- 歯が欠けてしまう
- インレーと歯の間に隙間ができる
- そこから虫歯(2次カリエス)が再発する
といったリスクが高まります。
そこで、オクルーザルベニアではあえて弱くなっている部分だけを最小限に整え、セラミックで広い範囲をしっかり覆うことで、歯全体を強く安定させます。
結果として、歯質をできるだけ残しながら守ることができ、長期的に歯を健康に保ちやすくなる治療です。
オクルーザルベニア(奥歯)

自費
- 見た目をある程度白くできる
- インレーと比べて、強度が高い
クラウン修復の素材
虫歯が大きく、歯の形が大きく失われてしまった場合に行います。
歯を全体的に覆う「被せ物」で機能を回復します。
- 破折リスクの高い歯をしっかり保護
- 噛む機能の回復に優れている
- 見た目を自然に整えることも可能
神経治療後の歯などにも多く用いられます。
クラウン修復で使用する材料について、それぞれの特徴をご紹介します。
硬質レジン前装冠(前歯)

保険
- 保険適用で費用を抑えられる
- 見た目をある程度白くできる
- 経年的に変色・摩耗しやすい
- 破折や剥がれのリスクがある
- 金属を使用しているため、歯ぐきが黒ずむ場合がある
メタルクラウン(奥歯)
保険
- 非常に強度が高く丈夫
- 保険適用で費用を抑えられる
- 銀色で見た目が目立つ
- 金属アレルギーの可能性がある
- 経年で歯ぐきとの境目が黒く見えることがある
CAD/CAMクラウン(奥歯)
保険
- 白くて自然に近い見た目
- 金属を使わないためアレルギーの心配が少ない
- 強度はセラミックより劣る
- 歯ぎしりが強い方では破折の可能性
- 接着がしづらいため外れやすい
- 他の素材と比べて外れやすい
- 適応できる部位や条件に制限あり
セラミック – ガラスセラミック系
自費
- 審美性に大変優れています
- やや経年変化が早い
- 審美にこだわる人が前歯に使うのに最適
- 奥歯やブリッジには不向き
セラミック – ジルコニア系

自費
- 非常に丈夫で割れにくい
- 噛む力が強い方にも適応
- 昨今は透明度の高いマテリアルも出現し、オールマイティーな使用が可能。
- 経年変化が少ないため、当院では特にお勧めしています
- 理事長北原はジルコニア修復臨床の第一人者としても知られています
このように、審美修復治療の素材にはそれぞれに特徴があります。
当院では、見た目や強度のバランスを考えながら、お一人おひとりに合ったものをご提案します。
当院の審美・修復治療
審美・修復治療というと、審美にフォーカスされて、機能性が別物のように捉えられがちですが、当院では審美と機能性は同時に揃うべき物だと考えています。
審美修復治療は、ご自身の歯を大切に残したい人にとって、より優しい治療となっています。
当院で虫歯を見つけた方や、すでに治療した歯の再治療の方、すきっ歯など審美性が気になる方の治療としても行っています。
「虫歯を治療したい 」
「銀歯を白くしたい」
「前歯のかぶせものが気になる」
など、ご希望をお伝えの上、ご予約ください。
当院が初めての方はこちらが便利です。