診療時間
電話予約 Web予約 アクセス
診療時間

矯正歯科

矯正治療で噛み合わせを調整すると、審美も機能も良くなります。

お口元の審美も機能も高めるという選択

「歯並びが気になる方」
「前歯で噛み切りづらい方」
「奥歯で噛み切りづらい方」

矯正治療は審美のための治療ととらえられがちですが、歯の位置や角度を整えることで、見た目の美しさのみならず、噛み合わせを機能させる治療です。

マウスピース矯正のご紹介

デジタル技術による新しい矯正スタイル

従来の矯正治療はワイヤー矯正が主流でしたが、現在はデジタル技術の進化により、透明なマウスピースを用いた治療できる症例が大きく広がっています。治療開始から完了までがデジタルでシミュレーションされる機能が充実しています。

周囲に気づかれにくい「透明な装置」

透明なマウスピースを使用します。

装着していても目立ちません。

そのため、社会生活や学校生活への影響を最小限に抑えながら治療を続けることができます。

食事や歯磨きも快適「取り外しが可能」

ご自身で簡単に取り外しができるため、食事や歯磨きの際は装置を外すことができます。
装置に食べ物が詰まるストレスがなく、お口の中を清潔に保てるのが大きなメリットです。
装置を外して歯をお手入れできるため、虫歯・歯周病リスクも軽減できます。

インビザラインGoとは

米国アライン・テクノロジー社が開発したマウスピース矯正技術です。約6ヶ月間という短期間で前歯の軽微なガタつきの改善を目指します。

シュアスマイルとは

米国デンツプライシロナ社が提供するマウスピース矯正技術で、高精度な口腔内スキャナーで3Dデータを作成。緻密なシミュレーションに基づき、奥歯を含めた全体の噛み合わせを緻密にコントロールします。

ワイヤー矯正

スタンダードで多くの症例に対応

従来式のワイヤー矯正は、矯正装置を歯に接着して、歯をコントロールします。
歯のコントロール性が高く、マウスピース矯正では対応が難しい症例でもより幅広い症例の治療が可能です。

着実に治療が進みます

マウスピース矯正は1日20~22時間以上の装着が必要で、自己管理が必須です。
一方、ワイヤー矯正は装置をご自身で外さないため、自己管理に自信が無い方でも、矯正治療を着実に進めることが可能です。

ただし、装置が壊れた、外れた、口内炎ができたなどのトラブルがないわけではないので、その際は対処が必要になります。

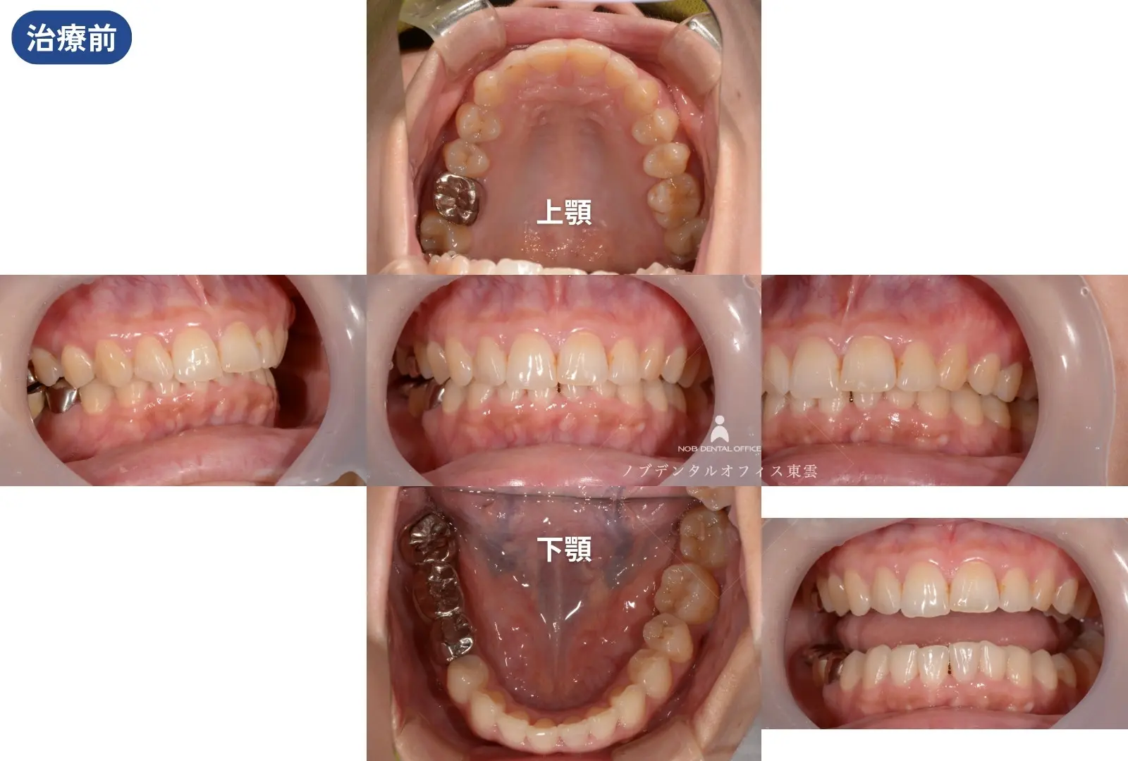
ここからは症例を紹介します。

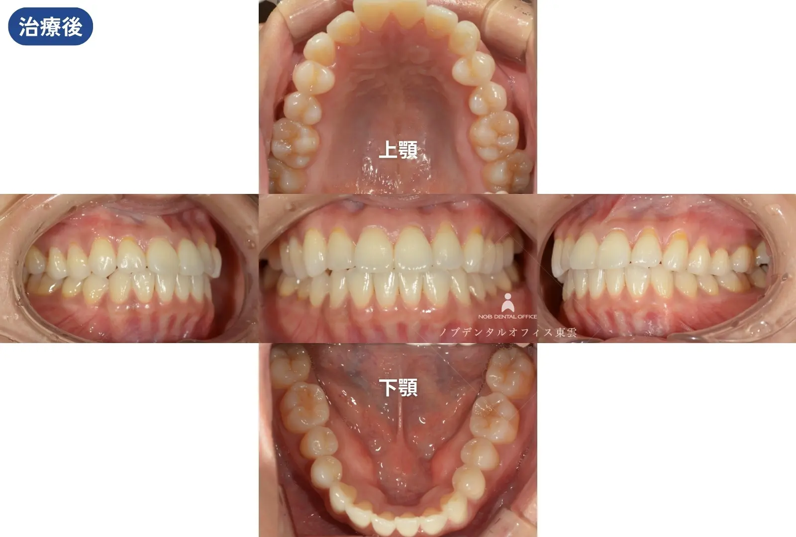
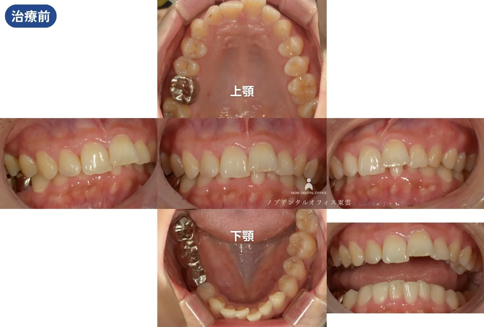
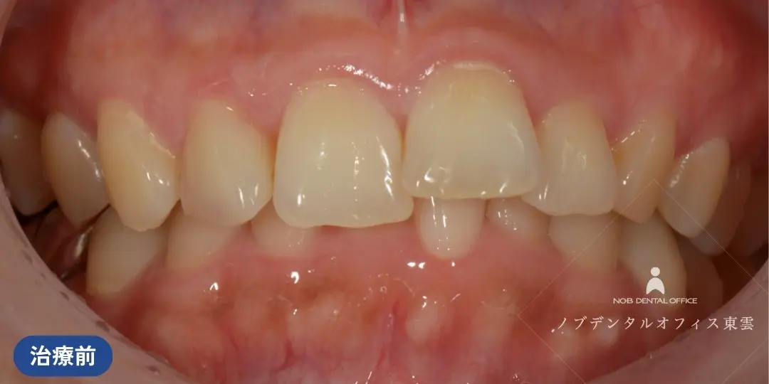
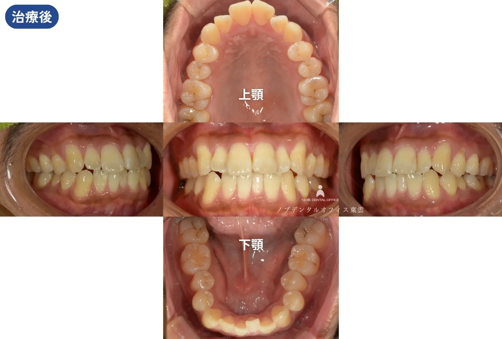
前歯の重なりと過蓋咬合を6ヶ月間で矯正した症例(50代女性)

BEFORE
前歯の噛み合わせが深く、下の前歯が大きく隠れています。
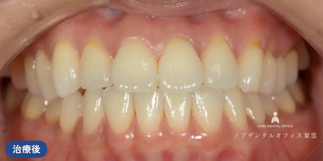
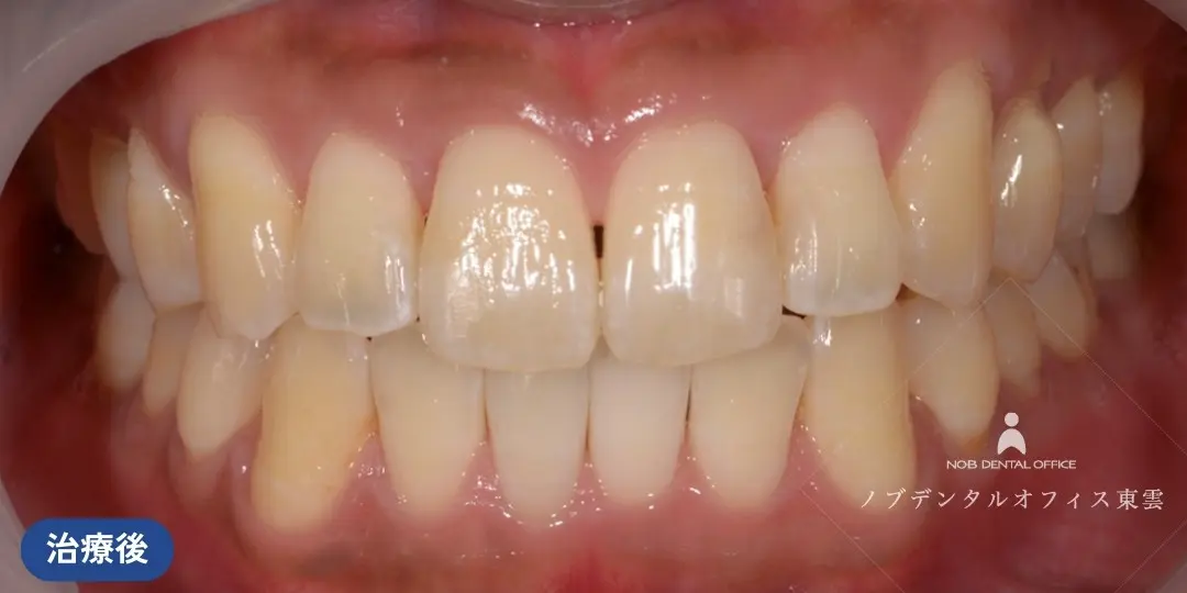
AFTER
ガタつきがとれ、下の前歯が見えるようになりました。

初診時

  • 前歯の並びが気になるとご来院されました。
  • 診断の結果、叢生(ガタつき)と過蓋咬合(深い噛み合わせ)が認められました。

治療結果

  • マウスピース矯正で前歯の矯正治療を約6ヶ月間行いました。
  • その結果、深かった噛み合わせが改善され、前歯のガタつきも解消されました。
BEFORE
AFTER
期間約6ヶ月
治療マウスピース矯正(インビザラインGo)
費用550,000円(税込)
リスク・治療中や治療後に、痛み・しみる感じ・違和感が出ることがあります。
・歯の動き方や結果には個人差があり、治療期間が延びることがあります。
・装置を外した後にリテーナーを使用しないと、歯が戻ることがあります。
・噛み合わせや顎の状態により、追加治療が必要になる場合があります。

前歯のガタつきを6ヶ月間で改善した症例(20代女性)

BEFORE
AFTER

初診時

  • 前歯の並びが気になるとご来院されました。
  • 診断の結果、叢生(ガタつき)が認められました。

治療結果

  • マウスピース矯正で前歯の矯正治療を約6ヶ月間行いました。
  • 短期間の治療により、重なっていた前歯がきれいに並び、健康的で自然な口元になりました。
BEFORE
AFTER
期間約6ヶ月
治療マウスピース矯正(インビザラインGo)
費用550,000円(税込)
リスク・治療中や治療後に、痛み・しみる感じ・違和感が出ることがあります。
・歯の動き方や結果には個人差があり、治療期間が延びることがあります。
・装置を外した後にリテーナーを使用しないと、歯が戻ることがあります。
・噛み合わせや顎の状態により、追加治療が必要になる場合があります。

6ヶ月間で前歯の歯並びをガタツキを治した症例(30代男性)

BEFORE
叢生(歯並びのガタつき)が見られます
AFTER

初診時

  • 「結婚式までに前歯をきれいにしたい」とご来院されました。
  • 診断の結果、部分的な歯のガタつき(叢生)が見られました。

治療結果

  • 大切な日に間に合わせるため、マウスピース矯正で前歯を矯正しました。
  • 短期間で整った歯並びが実現し、結婚式当日には整った前歯で迎えられました。
BEFORE
AFTER
期間約6ヶ月
治療マウスピース矯正(インビザラインGo)
費用550,000円(税込)
リスク・治療中や治療後に、痛み・しみる感じ・違和感が出ることがあります。
・歯の動き方や結果には個人差があり、治療期間が延びることがあります。
・装置を外した後にリテーナーを使用しないと、歯が戻ることがあります。
・噛み合わせや顎の状態により、追加治療が必要になる場合があります。

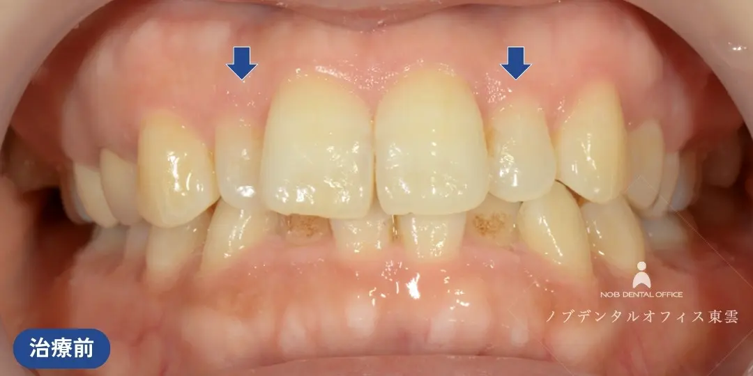
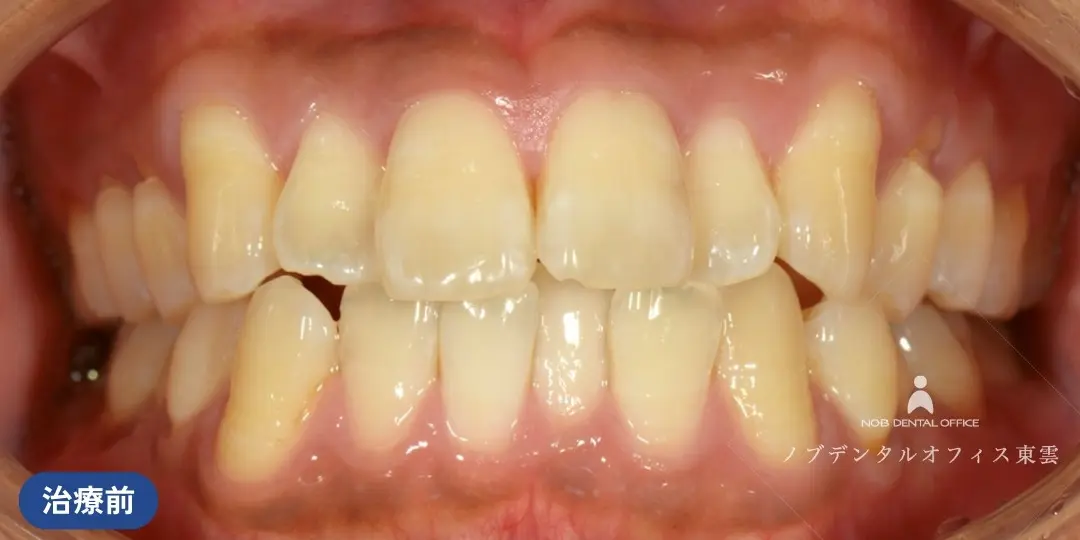
前歯の矯正後に矮小歯の形態を改善した症例(30代女性)

BEFORE
矢印の箇所に通常より小さい歯(矮小歯)が見られます
AFTER
矯正後、矮小歯をラミネートベニアで補綴しました。歯の位置も大きさもバランスがとれました。

初診時

  • 歯並び全体の改善を希望してご来院されました。
  • 歯の重なりがみられます。
  • 左右の側切歯が通常より小さい「矮小歯(わいしょうし)」が計2本あります。

治療結果

  • まずマウスピース矯正で歯列を整え、その後に矮小歯(側切歯)をラミネートベニアで補綴しました。
  • 約1年間の治療により、歯のガタつきが解消され、側切歯の大きさや形も整い、より調和のとれた美しいスマイルラインが完成しました。
BEFORE
AFTER
期間約1年間
治療マウスピース矯正(インビザラインGo)
費用矯正治療 660,000円(税込)
ラミネートベニア 165,000円 × 2本
リスク・治療中や治療後に、痛み・しみる感じ・違和感が出ることがあります。
・歯の動き方や結果には個人差があり、治療期間が延びることがあります。
・装置を外した後にリテーナーを使用しないと、歯が戻ることがあります。
・噛み合わせや顎の状態により、追加治療が必要になる場合があります。

当院の矯正治療

矯正治療は、ご自身の歯を活かしてより美しく見せるための治療です。

矯正治療をすることで、患者様は見た目の美しさが改善されることに喜ばれますが
歯科医師としては、噛み合わせが改善されることで、将来のお口の健康こそ大事だと考えています。

歯の噛み合わせは将来の歯の健康に大きな影響があるからです。

そのため、お子様や若い方はもちろん、シニアの方も今残っているご自分の歯を守るために矯正治療を行うことがあります。

矯正の治療や噛み合わせについてのご質問・ご相談がありましたら、担当医までお気軽にお問い合わせください。

矯正歯科

    極力痛みを抑え、一本でも多くご自身の歯を残すことにこだわっています。

    専門歯科医院の連携による妥協なき歯科治療を
    なるべく早く受診を希望する方へ

    柔軟に対応しております。混雑している場合はお待たせすることもございます。ご来院いただく前に一度お電話にてお問い合わせください。

    診療時間
    ACCESS
    アクセス
    所在地 東京都江東区東雲1-9-17-204
    東雲キャナルコートCODAN 3街区 区画8-2階
    (明光義塾横)
    電車 辰巳駅から630m (徒歩8分)
    東雲駅(東京)から740m (徒歩10分)
    バス キャナルコート3街区前から90m (徒歩2分)