診療時間
電話予約 Web予約 アクセス
診療時間

入れ歯

毎日の食事と会話を気ままにできるように
一人ひとりに納得のいく治療をお手伝いします

毎日の食事と会話を楽しむために

入れ歯治療において大切なのは、まずは「噛む」「話す」という機能を回復することです。
ノブデンタルオフィス東雲では、お口に合った入れ歯を丁寧に作製し、食事や会話を楽しめる生活を取り戻すことを第一の目標としています。

患者さん一人ひとりのライフスタイルや「どこまで快適さを求めるか」といったご希望に合わせて、最適な治療法をご自身で選択していただけるようサポートします。

入れ歯には、一部の歯を補う「部分入れ歯」と、全ての歯を補う「総入れ歯」があります。

部分入れ歯

部分入れ歯(部分床義歯)とは、歯を失った際、残っている歯に金属のバネをかけて固定する取り外し式の入れ歯です。
当院では、費用を抑えた保険診療から、機能性・審美性を追求した自費診療まで幅広く対応しています。

保険診療の部分入れ歯

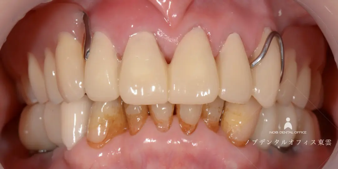
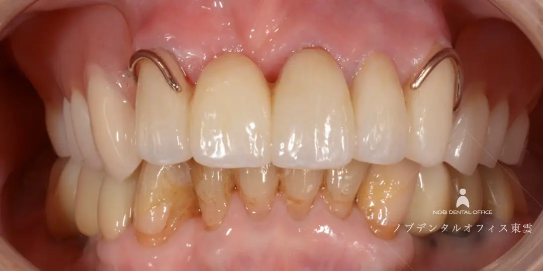
部分入れ歯の見た目

次の写真は前歯の部分に入れ歯をした写真です。
1枚目は保険の部分入れ歯で、2枚目は自費診療の部分入れ歯にしました。
ご覧の通り見た目に大きな違いはありません。

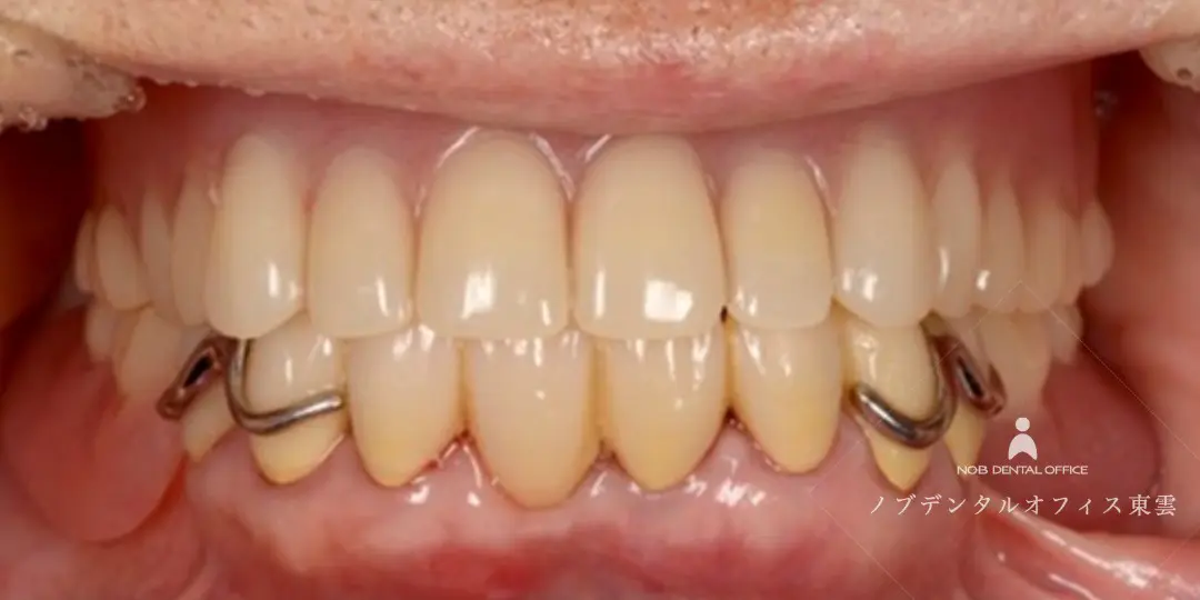
保険診療の部分入れ歯

自費診療の金属床義歯

部分入れ歯で噛めるように、話せるように

次に、お口の裏側を紹介します。
それぞれ保険と自費の部分入れ歯ですが、裏側が全く違う構造になっています。
金属が入っていることで、噛んだ時のたわみを抑えられ、より快適になります。
また、残っている歯への負担も軽減できます。

保険診療の部分入れ歯
前歯をみると、入れ歯に厚みがあるのがわかります。

自費診療の金属床義歯
薄くて丈夫なため、噛みやすさ・話しやすさが向上します。

保険診療の部分入れ歯では、素材にプラスチックレジンを使用しています。
そのため、強度を保つためには、厚みが必要です。

自費診療の部分入れ歯では、床素材に金属を使用しています。
金属床が薄くて丈夫です。
そのため噛んだ時の「たわみ」を抑えられ、快適さが改善されます。
「噛む」「話す」などの機能性を求める方に適しています。

自費の部分入れ歯で残存歯や歯ぐきへの負担を抑えるために

自費の部分入れ歯は、たわみの少ない安定した設計が可能です。そのため、残存歯や歯ぐきへの負担を抑え、高い安定性が期待できます。
お口の状態やご希望に合わせて最適な形を検討し、快適な噛み心地を実現します。

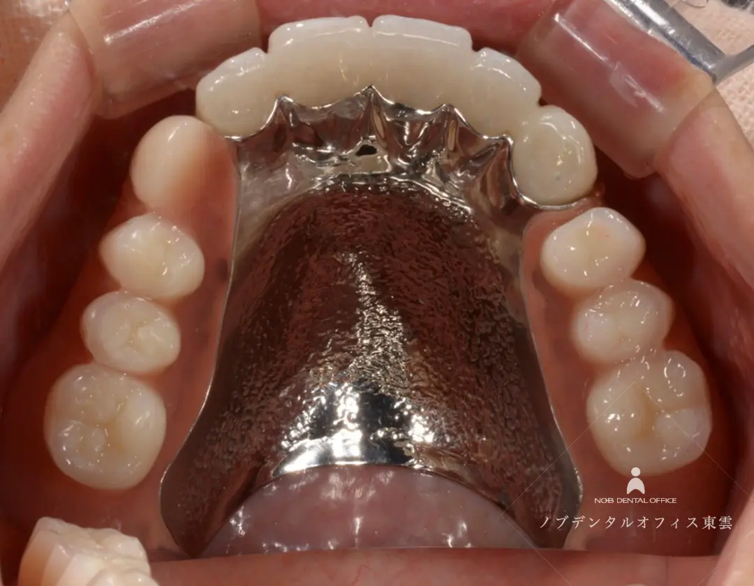
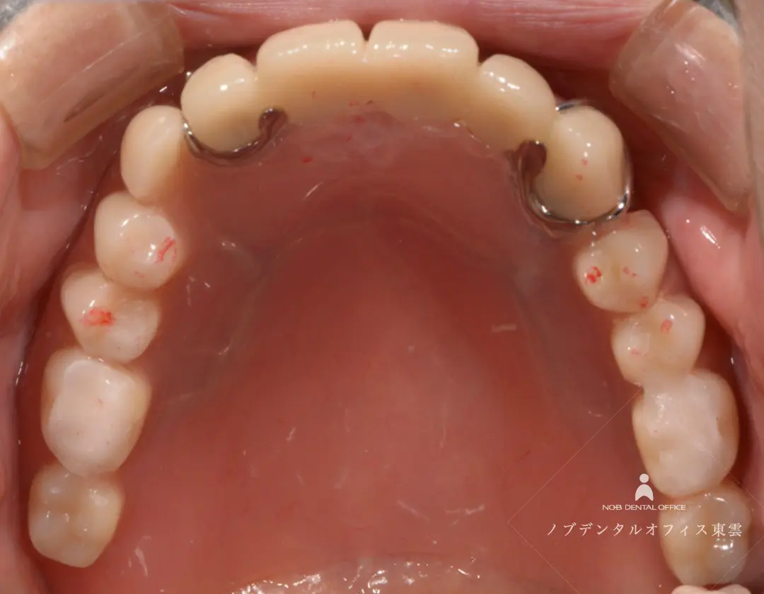
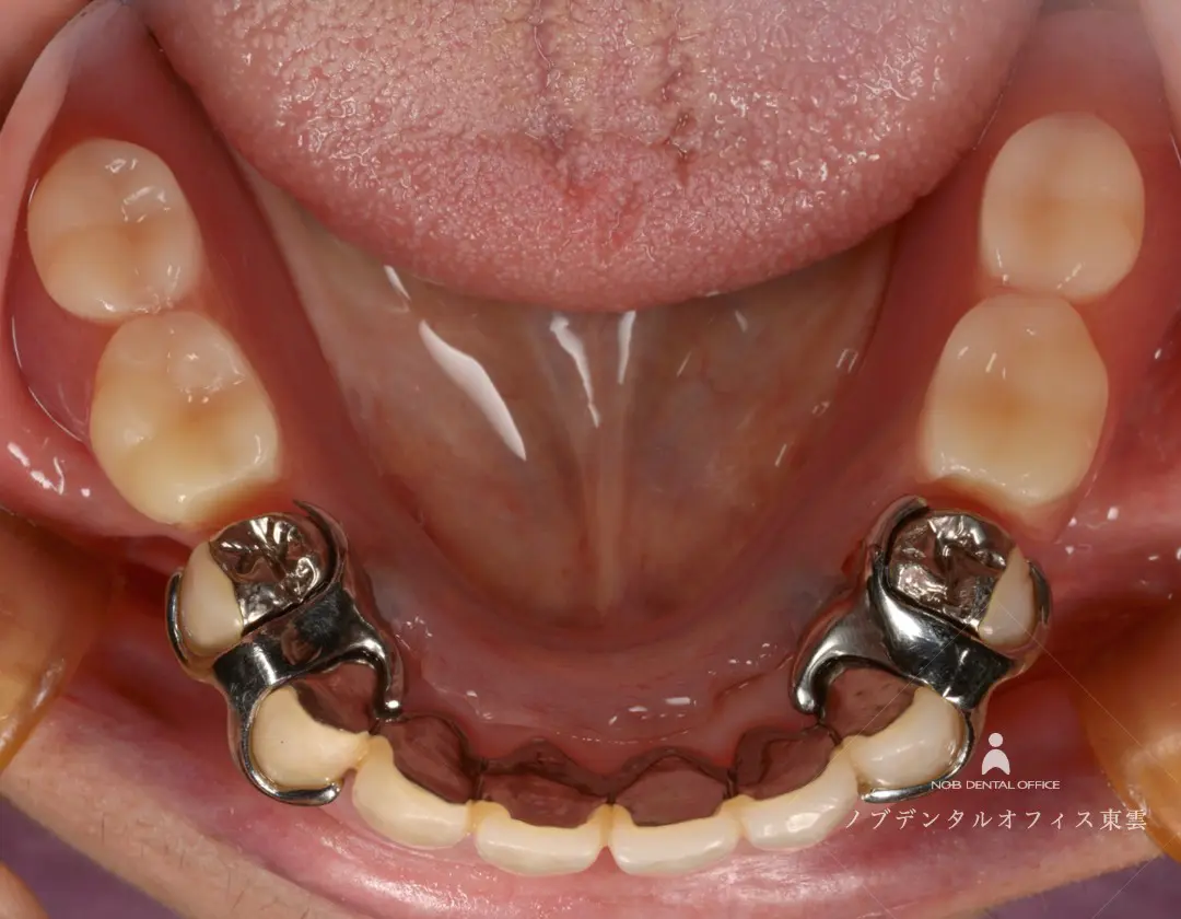
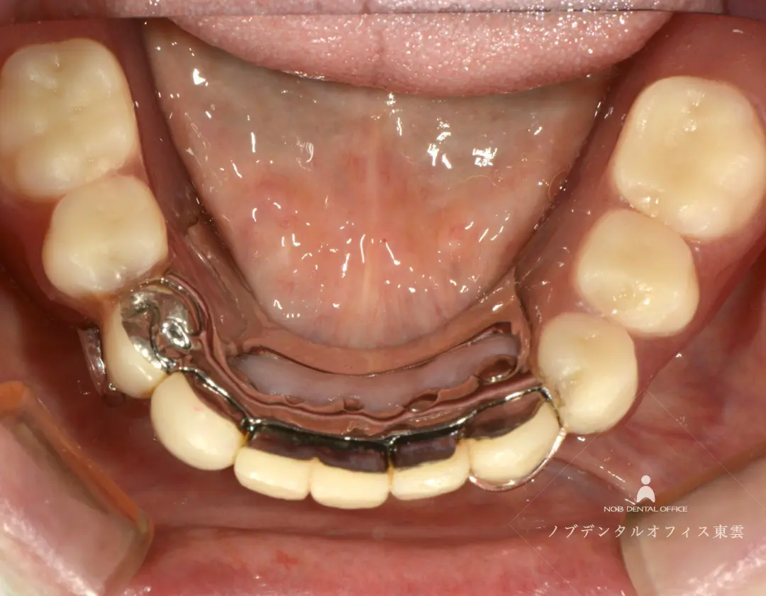
奥歯の部分入れ歯。金属のバネを使用して固定しています。

奥歯の部分入れ歯。前歯の裏側にある金属製のリンガルバーが噛んだ時の入れ歯の沈み込みや左右への揺れを抑えます。

ここまで部分入れ歯について紹介してまいりました。

このように様々な選択肢がありますが、当院では患者様が納得のいく選択ができるようサポートしております。

ご不明な点、ご不安な点などありましたら、担当医までご相談ください。

ここからは総入れ歯の紹介です。

総入れ歯(全部床義歯)

総入れ歯すべての歯を失った場合に使用する入れ歯です。
土台となる「床(しょう)」の素材によって、使い心地や機能性が変わります。

レジン床義歯(保険診療)

保険診療のレジン床義歯
費用を抑えられる上、比較的短期間で作製できます。

歯ぐきに触れる部分が樹脂(レジン)で作られているベーシックな入れ歯です。
保険適用のため費用を抑えて作製できるのが最大のメリットです。
また、万が一破損した場合でも修理や調整が比較的しやすいという特徴があります。

素材の強度を保つために、どうしても一定の厚みが必要になります。
そのため、お口の中が狭く感じたり、プラスチックの特性上、食事の温度が伝わりにくいといった側面があります。

金属床義歯(自費診療)

自費診療の金属床義歯
歯ぐきに触れる部分を金属で作製しています。強度があり、たわみも出づらくなります。

歯ぐきに触れる部分を金属で作製する入れ歯です。
金属は強度が高いため、約3分の1の薄さで仕上げることができます。
これにより、お食事や会話もよりスムーズに楽しめます。

金属は熱を伝えやすいため、汁物の温かさや飲み物の冷たさを瞬時に感じられるのが大きな魅力です。
また、「たわみ」も少ないため、噛んだ時の力の入り方が違います。

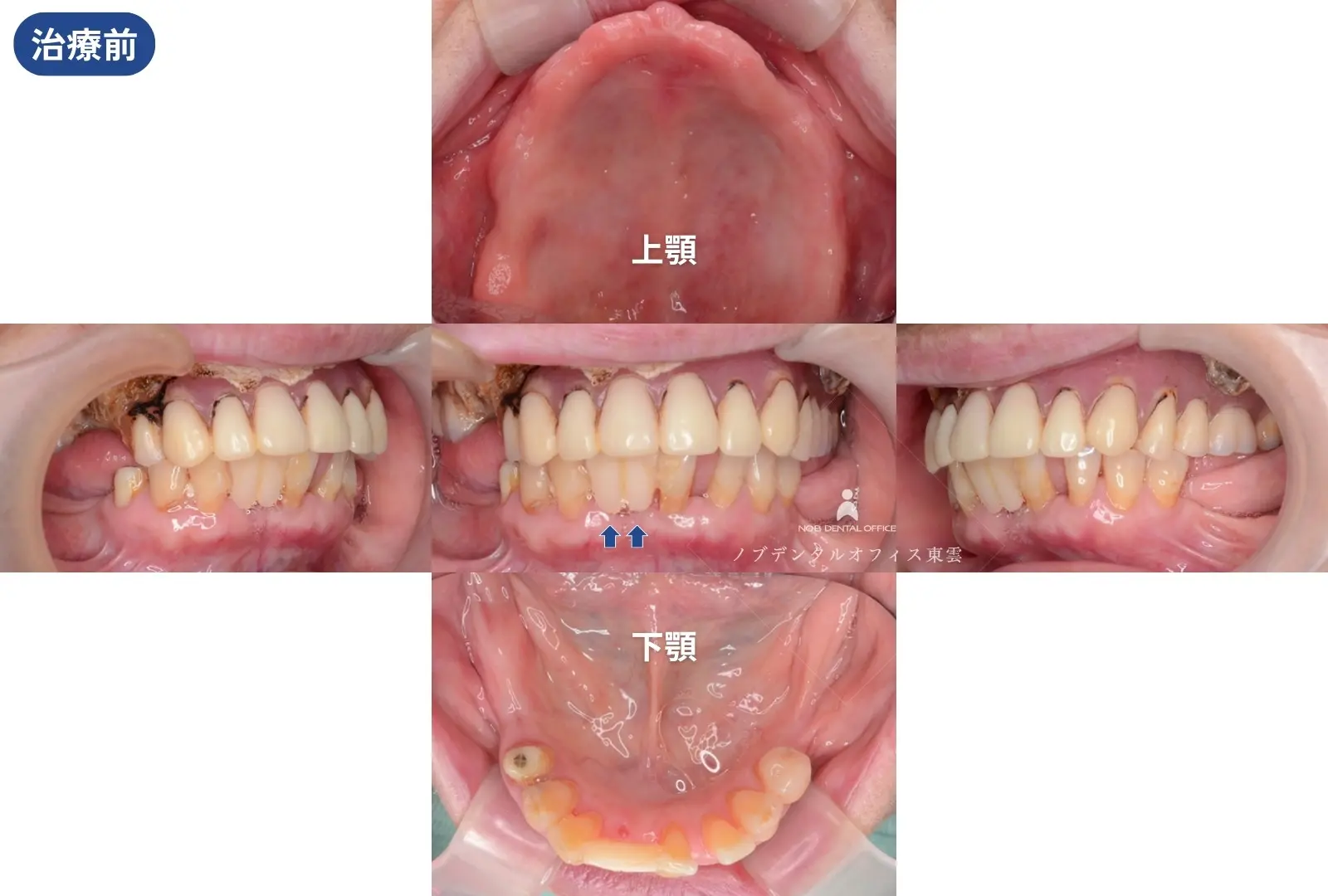
保険診療の入れ歯で治療した症例(70代女性)

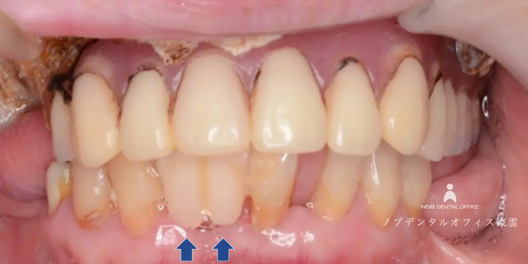
「下の前歯が抜けてしまった」とご来院した方の症例を紹介します。

診察の結果、噛み合わせのバランスが崩れてしまっていて、残っているご自分の歯に過度な負担がかかっていました。

応急処置

まずは歯が抜けてしまった箇所に仮歯をつけました。
見た目を整え、日常生活で不自由なく噛める状態を確保しました。

治療

  • 上あご: 保険診療の総入れ歯を作製。
  • 下あご: 前歯部にはブリッジ(レジン前装冠)、奥歯にはそれに合う保険診療の部分入れ歯を作製しました。

微調整

入れ歯を装着して過ごしていただいた上で、違和感や発音、噛み合わせを調整します。

BEFORE
治療前
「下の歯が抜けてしまった」とご来院。
矢印の箇所に仮歯をいれました。
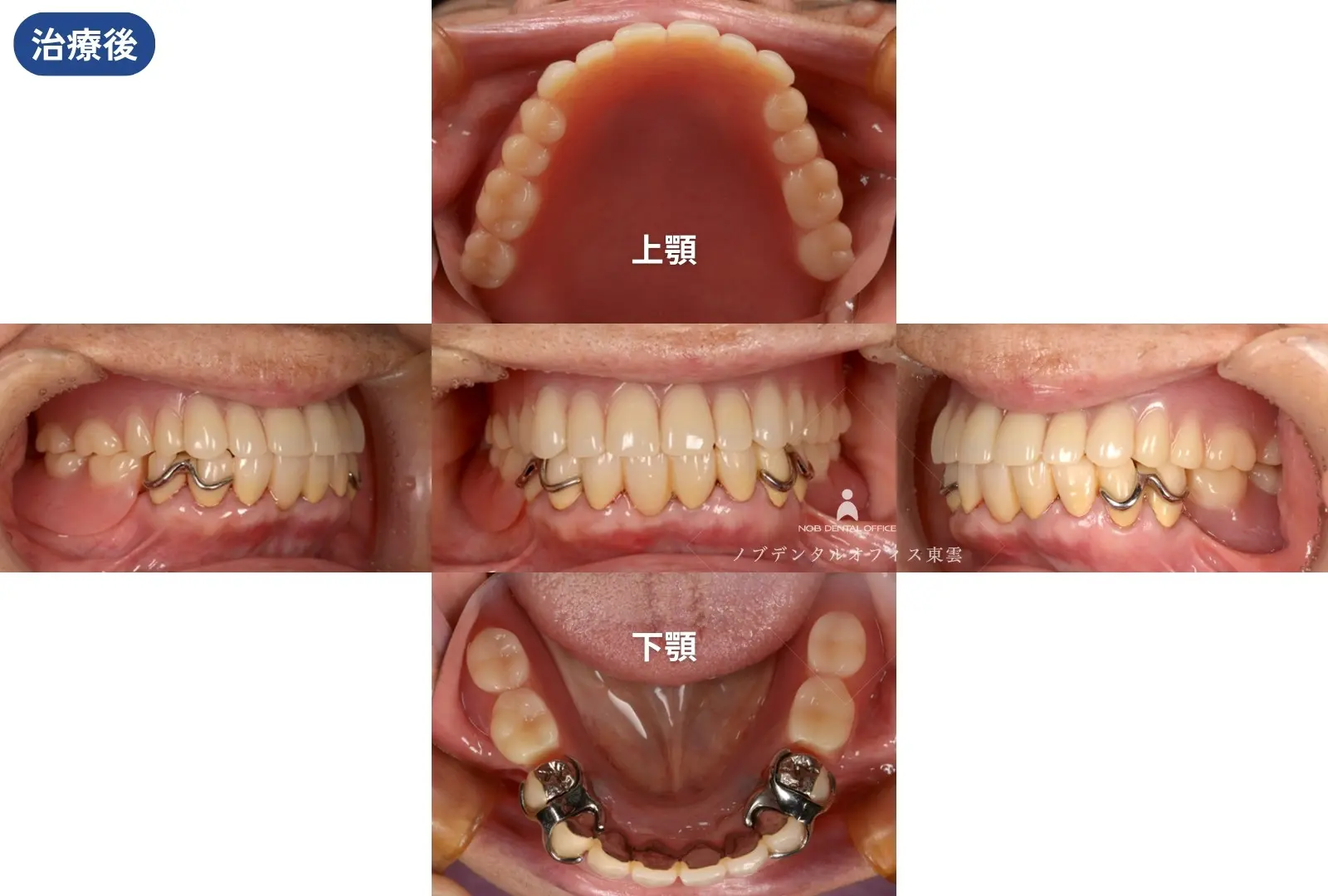
AFTER
治療後は
(上)保険の総入れ歯
(下)レジン前装冠ブリッチ+部分入れ歯
BEFORE
AFTER
期間8ヶ月間
治療・仮歯の応急処置
・保険の総入れ歯
・レジン前装冠ブリッチ
・部分入れ歯
費用レジン前装冠 8本
上顎総義歯
下顎部分床義歯
保険適用
リスク・入れ歯は使用に慣れるまで、違和感や発音のしづらさを感じることがあります
・噛み合わせの変化により、定期的な調整が必要となる場合があります
・清掃状態や使用状況によっては、残っている歯に負担がかかることがあります
・長期的に安定して使用するためには、定期的な検診とメンテナンスが重要です

入れ歯治療に関するよくあるご質問

入れ歯に関して当院によく寄せられるご質問をまとめました。

以前、他院で作製した入れ歯でうまく噛めなかったのですが、改善しますか?

噛めない原因は、噛み合わせのズレや適合の不一致など様々です。
当院では、まずお口全体を診査・診断し、土台となる歯の処置や、よりたわみの少ない素材(金属床など)を選択することで、以前よりも安定してしっかりと噛める入れ歯を目指します。

保険と自費の入れ歯、結局どちらが良いのでしょうか?

費用を抑えてまずは機能を回復したい場合は、保険診療が適しています。
一方で、「違和感を減らしたい」「食事をもっと楽しみたい」「人前で自信を持って笑いたい」「残っている歯を少しでも長持ちさせたい」という方には、自費診療の方が様々な選択肢が出てきます。薄くて丈夫な金属床や、見た目の自然なノンクラスプ義歯等からご自分に合った治療プランを探していきましょう。

寝る時は入れ歯を外したほうが良いですか?

基本的には外して、歯ぐきを休めましょう。
一日中入れ歯を装着していると、歯ぐきが圧迫され続け、血流が悪くなってしまいます。
就寝中は外して専用の洗浄剤を入れた水に浸し、お口の中と入れ歯の両方を清潔に保つことが大切です。

当院の入れ歯治療

歯を失ってしまうと、ただその歯で噛めなくなるだけでなく、おしゃべりするのを躊躇したり、お食事を楽しめなくなったりと人生の質に関わってきます。

当院では、より多くの方が質の高い人生を送っていただけるように、治療の選択肢をご提案しています。
ご不明な点、痛みや不快感などのご不安点がありましたら、カウンセリング時に担当医までご相談ください。

当院が初めての方はこちらが便利です。

入れ歯

    極力痛みを抑え、一本でも多くご自身の歯を残すことにこだわっています。

    専門歯科医院の連携による妥協なき歯科治療を
    なるべく早く受診を希望する方へ

    柔軟に対応しております。混雑している場合はお待たせすることもございます。ご来院いただく前に一度お電話にてお問い合わせください。

    診療時間
    ACCESS
    アクセス
    所在地 東京都江東区東雲1-9-17-204
    東雲キャナルコートCODAN 3街区 区画8-2階
    (明光義塾横)
    電車 辰巳駅から630m (徒歩8分)
    東雲駅(東京)から740m (徒歩10分)
    バス キャナルコート3街区前から90m (徒歩2分)